Autorica teksta i fotografija: doc.dr.sc. Larisa Musić, Zavod za parodontologiju
Kako pravilno provoditi oralnu higijenu?
Karijes i upalne bolesti zubnog mesa se ubrajaju u najčešće kronične (dugotrajne) bolesti u ljudi. 20-50 % globalne populacije ima parodontitis, upalu zubnog mesa koju karakterizira gubitak kosti (kolokvijalno poznat kao „parodontoza“). Oko polovice stanovništva ima karijes trajnih zubi. Obje bolesti su tzv. bolesti povezane s biofilmom, odnosno bakterijskim plakom. Naime, njihov primarni etiološki čimbenik jest upravo bakterijski plak i specifične bakterije koje se nalaze u njemu.
Zubi su mjesto na koje svakodnevno prianjaju najrazličitije bakterije usne šupljine i formiraju masu koja se naziva bakterijski plak. Bakterijski plak („biofilm“, živa naslaga) nije sačinjen samo od bakterija, već i ljepljivih tvari koje one same proizvode, a koje im omogućuju zaštitu od vanjskih uvjeta.
Iako pojedini „zaštitni“ prirodni mehanizmi, poput mišićne aktivnosti jezika i obraza, mogu donekle ukloniti ostatke hrane, uklanjanje bakterijskog plaka je na taj način nepotpuno. Jasno je, stoga, da oralna higijena, kojom se mehanički uklanjaju sve naslage na zubima i zubnom mesu, ima najvažniju ulogu u njihovu uklanjanju, održavanju zdravlja i sprječavanju nastanka karijesa i upala zubnog mesa. Jednadžba zdravlja je poprilično jednostavna: ako nema bakterija, nema ni bolesti.
Kako onda ispravno provesti oralnu higijenu?
Ne postoji jedna rutina oralne higijene koja je primjerena za apsolutno svaku osobu. Sredstva za oralnu higijenu se trebaju birati na temelju starosti osobe, manualne spretnosti i stanju u ustima (pojavnosti karijesa, upale zubnog mesa, prisutnosti ortodontskog aparata, protetskih nadomjestaka, implantata itd.) U daljnjem tekstu objašnjena su sredstva i ukratko kome se generalno preporučuju. Za individualiziranu preporuku sredstava za oralnu higijenu i pravilnom načinu njihova korištenja potrebno je posavjetovati se s doktorom dentalne medicine. Provjera provedene oralne higijene kod kuće se može učiniti i upotrebom sredstva za prikazivanje plaka (tzv. plak revelatora) koji se u obliku tabletica mogu kupiti u svim bolje opskrbljenim ljekarnama.

Bakterijska naslaga prikazana plak revelatorom
Interdentalno čišćenje
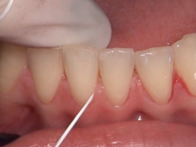
Oralna higijena uvijek započinje čišćenje između zubi, tj. čišćenjem interdentalnih (međuzubnih) prostora. Ono se treba provoditi svaki dan, jednom, idealno navečer. Preporučuje se čistiti između zubi od dobi kada se zubi u zubnom luku približe i ostvare kontakt, što znači da bi i tinejdžeri trebali izgraditi naviku međuzubnog čišćenja. Od sredstava za međuzubno čišćenje moguće je koristiti konac za zube, interdentalne četkice, interdentalne gumirane štapiće ili oralni tuš.
Zubni konac se preporučuje svima koji u međuzubni prostor ne mogu ući s najmanjom interdentalnom četkicom ili gumiranim štapićem. Sa zubnim koncem se obavezno mora ući i ispod zubnog mesa da se uklone bakterije iz tog područja. Zahtijeva manualnu spretnost pri korištenju da se njime ne ozlijedi zubna papila (trokutić zubnog mesa između zuba).

Ispravno korištenje konca podrazumijeva ulazak koncem ispod ruba zubnog mesa
Interdentalne četkice se preporučuju svima koji mogu najmanjom interdentalnom četkicom proći između dva zuba, neovisno o dobi. Veličina interdentalne četkice trebala bi biti prilagođena širini međuzubnog prostora zbog čega je, najčešće, potrebno više različitih veličina interdentalnih četkica za očistiti sve prostore u ustima. Ako se koristi interdentalna četkica, nije potrebno ujedno koristiti i konac.

Međuzubno čišćenje korištenjem interdentalnih četkica na zubima na kojima je prikazan plak
Gumirani štapići su alternativa interdentalnim četkicama kod uskih međuzubnih prostora jer su promjerom ipak nešto manji i lakše ulaze u navedeni prostor.

Gumirani štapić za čišćenje međuzubnog prostora
Tuš za usnu šupljinu služi isključivo kao nadopuna međuzubnom čišćenju (koncem/interdentalnim četkicama/gumiranim štapićima) i ne služi kao zamjena za njih jer generalno ne može razbiti bakterijski plak, ali može efikasno ukloniti ostatke hrane. Iz tog razloga se često preporučuje pojedincima koji imaju protetske nadomjeske (npr. mostove) za lakše uklanjanje ostataka hrane ispod nadomjeska.
Četkanje zubi
Četkanje zubi preporučuje se provoditi 2x dnevno u trajanju od 2-3 minute. Četkanje u večernjim satima, nakon posljednjeg obroka i prije spavanja je najvažnije četkanje u danu. Tijekom noći se smanjuje prirodno lučenje sline koja ima zaštitnu ulogu, usta se suše i stoga je važno ukloniti ostatke hrane i formirani bakterijski plak prije spavanja.
Četkice za pranje zubi se dijele u manualne i električne.
Manualne četkice se preporučuju svima koji su dovoljno spretni pravilno koristiti ih i nemaju problema s bolestima u usnoj šupljini. Znanstvena istraživanja ukazuju da najefikasnije uklanjanje bakterijskog plaka postižemo korištenjem četkica srednje (medium) tvrdoće i ukošenih vlakana. Postoje različite tehnike četkanja manualnim četkicama, ali niti jedna od njih nije znanstvenim dokazima potvrđena kao efikasnija u uklanjanju zubnog plaka u usporedbi s drugima. Generalno preporučena tehnika jest četkanje na način na glava četkice bude položena i zakošena prema rubu zubnog mesa te se potom glavom četkice rade mali, kružni pokreti, par sekundi po zubu, te se potom glava četkice pomiče na sljedeći zub. Odvojeno se četkaju zubi gornje i donje čeljusti. Četkicu je potrebno mijenjati svaka 3-4 mjeseca zbog „trošenja“ vlakana četkice.
Električne se četkice generalno dijele u 2 kategorije, sukladno tehnologiji na kojoj se temelje: sonične i oscilirajuće-rotirajuće četkice. U usporedbi s manualnim četkicama, znanstveni podaci potvrđuju da električne četkice uklanjaju više bakterijskog plaka. Koriste se drugačije od manualnih, s njima nije potrebno provoditi kružne kretnje četkanja, već ih je potrebno prisloniti uz zub i zubno meso i pustiti da pomak dlačica glave električne četkice ukloni plak kroz par sekundi, a potom se pomaknuti na sljedeći zub.
Paste za zube i vodice za ispiranje
Paste i vodice za ispiranje usne šupljine trebale bi se birati prema dentalnim potrebama pacijenta i ciljevima njihove upotrebe. One mogu sadržavati različite aktivne sastojke koji mogu djelovati u sprječavanju nastanka karijesa (fluoridi), upale zubnog mesa (cetilpiridinij klorid, kositreni fluorid), zadaha (cinkov laktat) ili uklanjanju pigmentacija i posvijetljivanju zubi (abrazivnije zubne paste i paste s ljubičasto-plavičastim pigmentima). Pojedini gelovi i vodice za ispiranje, kao što su preparati s klorheksidinom, preporučuju se koristi u tijeku stomatoloških liječenja ili nakon kirurških zahvata, kada se u periodu cijeljenja ne provodi mehaničko čišćenje. Za pravilan (i koristan) odabir zubne paste i vodice za ispiranje usne šupljine potrebno se savjetovati s doktorom dentalne medicine. Važno je napomenuti da niti pasta, niti vodica za ispiranje usne šupljine nije i ne može biti zamjena za svakodnevno mehaničko čišćenje površina zubi. Ipak, pravilnim odabirom aktivnih tvari može se itekako doprinijeti poboljšanju oralnog zdravlja i ostvarivanju zdravstvenih ciljeva.
Izvori:
Van der Weijden FA, Slot DE. Efficacy of homecare regimens for mechanical plaque removal in managing gingivitis a meta review. J Clin Periodontol. 2015;42:S77-91.
Yaacob M, Worthington HV, Deacon SA, Deery C, Walmsley AD, Robinson PG, Glenny AM. Powered versus manual toothbrushing for oral health. Cochrane Database Syst Rev. 2014;2014(6):CD002281.
Kotsakis GA, Lian Q, Ioannou AL, Michalowicz BS, John MT, Chu H. A network meta-analysis of interproximal oral hygiene methods in the reduction of clinical indices of inflammation. J Periodontol. 2018;89(5):558-570.