Autorica teksta: dr. sc. Anja Ivica, dr. med. dent.
Što je karijes?
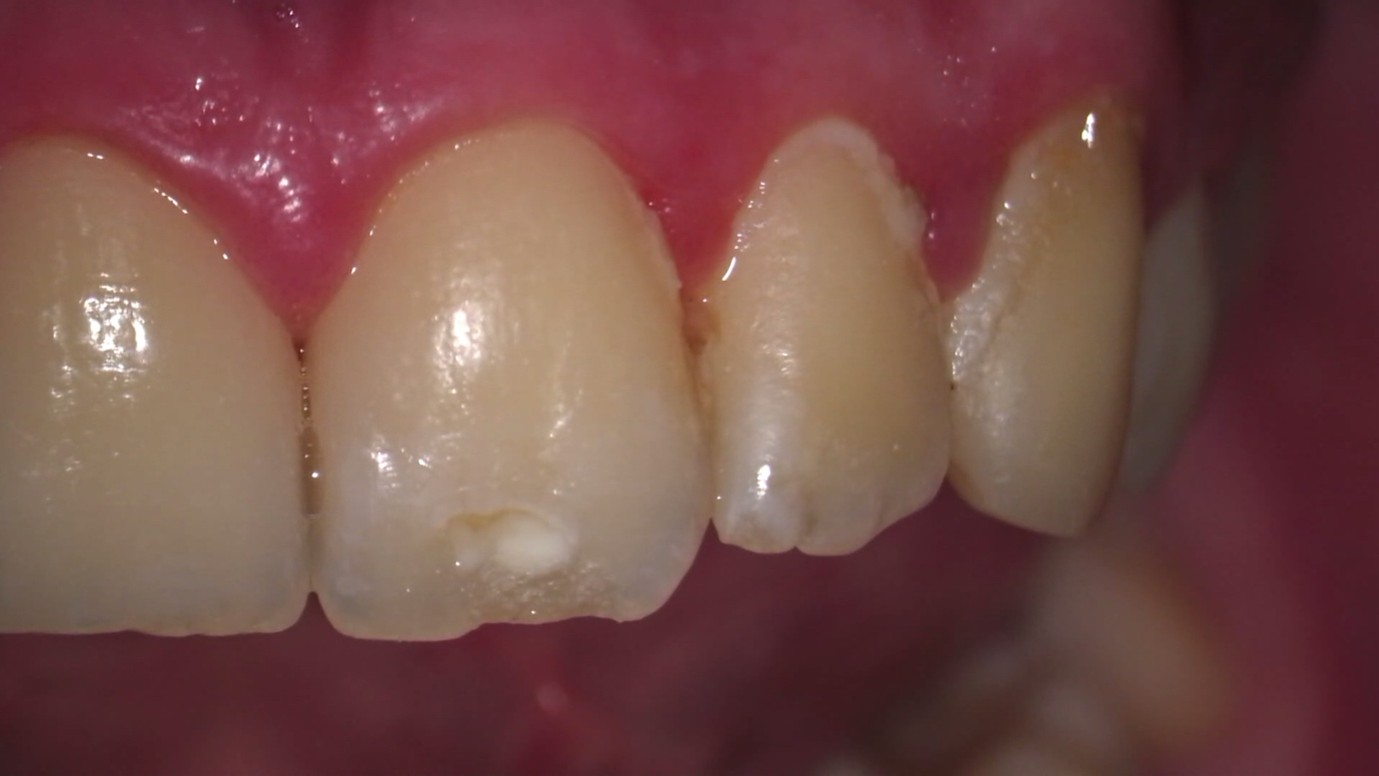
Zubni karijes je kronična bolest tvrdih zubnih tkiva, a ujedno i najčešća bolest u svijetu. Proces počinje demineralizacijom cakline, nakon čega slijedi razgradnja dentina i formiranje šupljina (kaviteta) u zubu. Kako je dentin mekše tkivo od cakline, karijes može brzo napredovati bez da pacijent svoji okom vidi nepravilnosti na zubu. Ako se ne liječi, karijes može napredovati sve do pulpe zuba, uzrokujući bol i infekciju, koja se dalje širi na području oko korijena zuba na kost i okolne strukture, što u nekim slučajevima može prouzročiti po život ozbiljne komplikacije.


Kako nastaje karijes?
Glavni uzročnici karijesa su bakterije u plaku. Zubni plak je mekani, ljepljivi biofilm (naslaga) koji se formira na površini zuba. Kada se plak ne uklanja redovito, bakterije u plaku razmnožavaju se i formiraju mikrokolonije. One proizvode izvanstaničnu matricu, polisaharide i druge tvari, koja ih drži zajedno. Na taj način nastaje stabilniji biofilm unutar kojeg bakterije metaboliziraju šećere. Taj proces rezultira proizvodnjom kiseline koja polako demineralizira i razara zubnu caklinu. Rizik od karijesa povećavaju: česta konzumacija slatkiša i zaslađenih napitaka, ljepljiva hrana, loša oralna higijena (zanemarivanje interdentalnih prostora), nedovoljna izloženost fluoridima, smanjena proizvodnja sline te anatomske nepravilnosti na zubima (brazde, pukotine) koje mogu zadržavati plak.
Ako plak ostane dugo na zubima i nije uklonjen, može se taloženjem minerala iz sline mineralizirati i pretvoriti se u zubni kamenac. Taj proces dodatno pogoršava mogućnost razvoja upala i parodontnih bolesti.

Prevencija i kontrola
Najvažniji koraci u prevenciji karijesa su:
- Redovito i pravilno pranje zubi barem dva puta dnevno pastom sa fluorom te čišćenje interdentalnih prostora zubnim koncem ili interdentalnim četkicama.
- Ograničavanje unosa slobodnih šećera i zaslađenih pića
- Upotreba profesionalnih fluoridnih tretmana ili pečaćenje fisura, naročito kod djece, kao dodatne zaštite površina zuba koje su sklone nakupljanju plaka
- Redoviti stomatološki pregledi i profesionalno čišćenje, rano otkrivanje i sanacija početnih lezija može spriječiti napredovanje karijesa
Karijes i trudnoća
Trudnoća donosi brojne fiziološke i hormonalne promjene u tijelu žene, koje mogu povećati rizik za oralne probleme, među kojima su i karijes i bolesti zubnog mesa.
Zašto je rizik povišen:
- Hormonalne promjene: porast razine hormona tijekom trudnoće (npr. estrogena i progesterona) može promijeniti sastav sline i pogodovati razvoju upale i nakupljanju plaka.
- Promjene u prehrani i navikama: trudnice često imaju pojačan apetit ili želju za slatkim te češće grickaju ili piju zaslađene napitke, što pogoduje razvoju karijesa. Također, mučnina i povraćanje u ranoj trudnoći mogu povećati kiselost u ustima, što olakšava demineralizaciju cakline.
- Oralne navike i higijena: zbog mučnina, umora ili osjetljivosti desni, trudnice ponekad zanemare redovito četkanje i čišćenje zubi te uporabu zubnog konca, što pogoduje nakupljanju plaka i razvoju karijesa.