Tečajevi Stomatološkog fakulteta u Zagrebu 2025

Napominjemo da SAMO UPLATA OSIGURAVA MJESTO na prijavljenom tečaju.

Uplatu vršite na  račun STOMATOLOŠKOG FAKULTETA:

IBAN HR7423600001101235285

poziv na broj 6-(broj odabranog tečaja).


Napredne tehnike brušenja u fiksnoj...

Voditelj: Prof.dr.sc. Marko Jakovac

Datum: 05.07.2025. / Vrsta: radni tečaj / Poziv na broj: 5-15 / Cijena: 600 eur   / Mjesto održavanja: Stomatološki fakultet – pretklinika / HKDM bodovi: 10

TEČAJ JE POPUNJEN! HVALA NA INTERESU

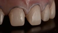
Trend minimalno invazivne dentalne medicine postoji već godinama. Materijali i tehnike brušenja se mijenjaju i preparacije ulaze u područje mikroinvazivnih zahvata. Dolaskom intraoralnih skenera doktori po prvi puta postaju svjesniji kvalitete preparacije zuba. Naime, slika na ekranu monitora otkriva sve nesavršenosti preparacije koje su nekada nevidljive u ustima, pogotovo bez optičkih pomagala. Takva pomagala više nisu dodatna, nego obavezna sredstva za rad.
U tečaju će se prikazati niz preparacija na modelu od preparacija za estetske i okluzalne ljuske do krunice. Svaki sudionik će svaku preparaciju raditi na više zuba.
Preporuka je donijeti lupe na tečaj. Organizator će omogućiti ostale materijale i svrdla.

Davor Illeš
Objavljeno: 10. 1. 2025. u 11:48
Uređeno: 24. 4. 2025. u 16:15
Popis obavijesti

Obavijesti

Datum: 20-21.3.2026 :. Voditelj: prof. dr. sc. Zrinka Tarle,  :. kongres:. kotizacija 250, 150 EUR ;. bodovi (HKDM): 12 :. 

Davor Illeš
Objavljeno: 28. 1. 2026. u 08:47